BriSE : Break-through in susceptibility enhancement
Medical imaging transformed by magnetic susceptibility
THE REVOLUTION IN MAGNETIC SUSCEPTIBILITY
Revealing the invisible contrasts in tissue
Magnetic susceptibility refers to a material’s ability to become magnetised in a magnetic field. Just as a compass aligns itself with the Earth’s magnetic field, BriSE measures the magnetisation of tissues within the magnetic field of an MRI scanner.
Our innovation enables the acquisition of high-resolution images with exceptional sensitivity to guide diagnosis and improve the monitoring of neurological diseases.
Our mission is to make this groundbreaking innovation available to patients.
a key component of life
Iron is the body’s powerhouse. In mammals, it plays a key role in oxygen transport, cellular respiration and energy production. In the brain, a large proportion of the energy produced by our cells is used for neuronal activity, which is essential for cognitive functions.
This neuronal activity also depends on iron, which is necessary for the production of neurotransmitters for neuronal communication, the formation of axonal membranes and the proper functioning of neurons. Ultimately, iron is also involved in the death of brain cells.
Within cells, iron is stored in the form of magnetic nanocrystals within a protein essential for life that is found in all living species: ferritin. This iron-laden protein accumulates in cells and is then broken down in the lysosome when the cell requires free iron to function.
BriSE measures brain magnetism
IRON AND RELATED DISEASES







Imaging in the service of patients
Improving diagnosis
Early diagnosis of neurological conditions is essential. Given the wide range of symptoms, imaging plays a crucial role in refining and confirming the diagnosis, thereby enabling patients to be referred swiftly to appropriate and effective treatment.
Streamlining the care pathway
Personalised care, based on a clearer understanding of the condition, is essential for adapting to changes in the disease and adjusting treatment. A coordinated care pathway enables informed treatment decisions.
Promoting access to innovative treatments
New treatments are gradually becoming available to patients. It is essential to identify those who are eligible for these treatments and to offer them as soon as possible, in order to maximise their benefits
"Monitoring the regions affected by the disease and quantifying its progression would represent a paradigm shift in the diagnosis and monitoring of neurological diseases."
Iron in neurological disorders

3T imaging of the hippocampus
LOCALISED ACCUMULATIONS
ALZHEIMER
Alzheimer’s disease is characterised by the accumulation of proteins in the brain. In particular, deposits of a peptide called ‘Abeta’, which is derived from a protein known as APP (amyloid precursor protein). These deposits are known as ‘amyloid plaques’. The ‘Tau’ protein and its modified form, ‘phosphorylated Tau’, also accumulate in the form of fibrils.
During the pathophysiological process, brain cells accumulate iron abnormally.
Our technology enables us to visualise very precisely the brain structures involved in the disease and to identify the affected regions.
iron and inflammation
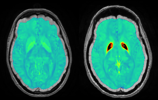
MULTIPLE SCLEROSIS
Multiple sclerosis is caused by lesions in the brain and spinal cord that disrupt the functioning of neurons. These lesions are identified by radiologists, who now need to look for specific ‘signatures’. The radiologist looks for the “central vein sign” and the “paramagnetic halo sign”. In this context, iron acts as a marker of the inflammatory process. Hepcidin could play an important role as a peptide that regulates iron accumulation.
Our technology enables these signs to be visualised with great precision and monitored over time.

Visualisation via BIaaS of the new radiological features (McDonald criteria) sought in MS

Iron accumulation and neurodegeneration
Neurodegeneration with brain iron accumulation
RARE DISEASE: NBIA
Some children experience abnormal iron accumulation in their brains. This accumulation is usually caused by a mutation in one of the genes essential for the brain to utilise iron normally. Our technology enables us to measure the amount of iron that accumulates in the brains of these young patients.
Our hope is that our technology will help them to be diagnosed earlier and enable the evaluation of new therapeutic approaches, and, by extension, that it will be useful for other neurological diseases in which iron plays a role.
innovation for the benefit of all
Physicians and neuroradiologists
A more accurate diagnosis and effective treatment
Hospitals and imaging centres
An optimised care pathway and improved quality of care
Patients and their families
Earlier diagnosis and personalised care
WHAT SETS US APART
Innovative, robust and hassle-free technology
BriSE: magnetic susceptibility revolutionised by the inventor of QSM
A breakthrough innovation resulting from the France 2030 future investment programme
100% compatible with existing MRI imaging systems
Proprietary technology and patented platform
Medical device registration pending
Our process
1
Reach out - get in touch with our team by phone, email, or live chat so we can start the discovery process.
2
We have an initial meeting so we can get a full understanding of what you are looking for and how we can work together.
3
We will create a comprehensive proposal based on our initial meeting, and present it to your team, either in person or virtually.
4
We collaborate with your company or organization to implement the appropriate plan and framework.
Come and see us at:
Francophone Radiology Days 2026 in:
Our people
Strength through our unique diversity
Nec vestibulum consectetur. In consequat nisl vitae lacus semper rutrum. Phasellus et iaculis ligula. Nulla posuere tincidunt tortor non interdum. Curabitur eget condimentum odio. Fusce eget tellus sollicitudin, molestie mauris.
Our impact
Benefiting the community - locally and globally
In consequat nisl vitae lacus semper rutrum. Phasellus et iaculis ligula. Nulla posuere tincidunt tortor non interdum. Curabitur eget condimentum odio. Fusce eget tellus sollicitudin, molestie mauris consec.
They trust us








