Home
BriSE : Break-through in susceptibility enhancement
L'imagerie médicale transformée par la susceptibilité magnétique
La révolution de la SUSCEPTIBILITÉ MAGNÉTIQUE
Révéler les contrastes invisibles des tissus
La susceptibilité magnétique indique la susceptibilité de la matière à s’aimanter dans un champ magnétique. A l’image d’une boussole qui s’oriente dans le champ magnétique terrestre, BriSE permet de mesurer l’aimantation des tissus dans le champ magnétique d’un IRM.
Notre innovation permet d’obtenir des images résolues et d’une sensibilité exceptionnelle pour orienter le diagnostic et mieux suivre les maladies neurologiques.
Notre mission est de rendre disponible cette innovation de rupture pour les patients.
un élément clé du vivant
Le fer est la batterie du vivant. Chez les mammifères, il assure notamment le transport de l’oxygène, la respiration cellulaire et la production d’énergie. Dans le cerveau, une grande partie de l’énergie produite par nos cellules sert à l’activité neuronale indispensable aux fonctions cognitives.
Cette activité neuronale dépend également du fer qui est nécessaire à la production des neurotransmetteurs pour la communication neuronale, à la constitution des membranes axonales et au bon fonctionnement des neurones. In fine, le fer est également impliqué dans la mort des cellules cérébrales.
Dans les cellules, le fer est stocké sous forme de nano-cristaux magnétiques dans une protéine essentielle à la vie que l’on retrouve chez toutes les espèces vivantes : la ferritine. Cette protéine chargée en fer s’accumule dans les cellules puis est dégradée dans le lysosome lorsque la cellule a besoin de fer libre pour fonctionner.
BriSE mesure le magnétisme cérébral
FER ET PATHOLOGIES ASSOCIÉES







L'imagerie au service des patients
Améliorer le diagnostic
Le diagnostic précoce des maladies neurologiques est essentiel. Face à la diversité des symptômes, l’imagerie joue un rôle déterminant en permettant d’affiner et de fiabiliser le diagnostic, pour orienter rapidement vers une prise en charge adaptée et efficace.
Accélérer le parcours de soin
Un suivi personnalisé, fondé sur une meilleure visualisation, est essentiel pour s’adapter à l’évolution de la maladie et ajuster le traitement. Un parcours de soin coordonné permet des décisions thérapeutiques éclairées.
Favoriser l'accès aux traitements innovants
De nouveaux traitements sont progressivement proposés aux malades. Il est essentiel d’identifier les personnes éligibles à ces traitements et de leur proposer dès que possible, afin d’en maximiser les effets
"Le suivi des régions impactées par la maladie et la quantification de la progression serait un changement de paradigme pour le diagnostic et le suivi des maladies neurologiques."
Le fer dans les maladies neurologiques

Visualisation de l’hippocampe à 3T
ACCUMULATIONS LOCALISÉES
ALZHEIMER
La maladie d’Alzheimer est marquée par le dépôt de protéines dans le cerveau. En particulier, des dépôts d’un peptide nommé « Abeta » provenant d’une protéine nommée APP (en anglais « amyloid precursor protein »). Ces dépôts s’appellent « plaques amyloïdes ». La protéine « Tau » et sa version modifiée « Tau phosphorylée » s’accumulent également sous forme de fribrilles.
Lors du processus physiopathologique, les cellules du cerveau vont accumuler de façon anormale du fer.
Notre technologie permet de visualiser très précisément les structures cérébrales impliquées dans la maladie et d’identifier les régions malades.
fer et inflammation
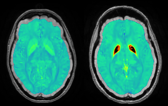
SCLÉROSE EN PLAQUES
La sclérose en plaques est dûe à des lésions dans le cerveau et la moelle épinière qui perturbent le fonctionnement des neurones. Les lésions sont reconnues par les radiologues, avec aujourd’hui le besoin d’accéder à des « signatures » particulières. Le radiologue recherche « le signe de la veine centrale » et « le signe du halo paramagnétique ». Dans ce cas, le fer est un marqueur du processus inflammatoire. L’hepcidine pourrait jouer un rôle important en tant que peptide régulateur de l’accumulation de fer.
Notre technologie permet de visualiser de façon très précise ces signes et de les suivre dans le temps.

Visualisation par BIaaS des nouveaux signes radiologiques (critères de McDonald) recherchés dans la SEP

Accumulation de fer et neurodégénérescence
Neurodégénérescence avec SURCHARGE cérébrale EN FER
MALADIE RARE : NBIA
Certains enfants accumulent de façon anormale le fer dans leur cerveau. Cette accumulation est généralement due à une mutation dans un des gènes importants pour que le cerveau puissent utiliser le fer normalement. Notre technologie permet de mesurer la quantité de fer qui s’accumule dans le cerveau de ces jeunes malades.
Notre espoir est que notre technologie puisse les aider à être diagnostiqués plus tôt et permette d’évaluer des nouvelles voies thérapeutiques, et, par extension, que cela serve pour les autres maladies neurologiques dans lesquelles le fer est impliqué.
une innovation au service de tous
Médecins et neuroradiologues
Un diagnostic plus précis Une prise en charge efficace
Hôpitaux et centres d'imagerie
Un parcours de soins optimisé Une qualité de soin améliorée
Malades et familles de malades
Un diagnostic plus tôt Un suivi personnalisé
NOTRE DIFFÉRENCE
Une technologie innovante, robuste et sans contrainte
BriSE : la susceptibilité magnétique révolutionnée par l'inventeur de QSM
Innovation de rupture issue du programme d'investissement d'avenir France 2030
100% compatible sur les systèmes d'imagerie IRM existants
Technologie propriétaire et plateforme brevetée
Marquage en tant que dispositif médical en cours
Our process
1
Reach out - get in touch with our team by phone, email, or live chat so we can start the discovery process.
2
We have an initial meeting so we can get a full understanding of what you are looking for and how we can work together.
3
We will create a comprehensive proposal based on our initial meeting, and present it to your team, either in person or virtually.
4
We collaborate with your company or organization to implement the appropriate plan and framework.
Retrouvez-nous aux :
Journées Françaises de Radiologie 2026 dans :
Our people
Strength through our unique diversity
Nec vestibulum consectetur. In consequat nisl vitae lacus semper rutrum. Phasellus et iaculis ligula. Nulla posuere tincidunt tortor non interdum. Curabitur eget condimentum odio. Fusce eget tellus sollicitudin, molestie mauris.
Our impact
Benefiting the community - locally and globally
In consequat nisl vitae lacus semper rutrum. Phasellus et iaculis ligula. Nulla posuere tincidunt tortor non interdum. Curabitur eget condimentum odio. Fusce eget tellus sollicitudin, molestie mauris consec.
Ils nous font confiance








