Libérer les potentiels d'innovation en santé humaine
Construire ensemble des partenariats scientifiques avec des acteurs clés de la recherche médicale
De la recherche à l'application clinique
Innovation et recherche au cœur de notre ADN
Nous nous engageons comme partenaire scientifique dans des projets dédiés aux maladies neurologiques, aux côtés d’équipes académiques et cliniques. Ensemble, nous faisons avancer la compréhension des mécanismes liés au fer pour ouvrir de nouvelles voies en recherche et en soins.
Collaborations scientifiques
en cours
Focus sur les collaborations en cours

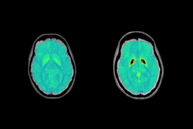
CEA NEUROSPIN x GHU SAINTE-ANNE
QSM4 ALZHEIMER DISEASE
Objectifs
Diagnostiquer plus tôt, mieux stratifier les patients :
- Comparer les images cérébrales des malades avec les images cérébrales du vieillissement cognitif normal
- Établir des corrélations entre l’imagerie du fer et les manifestations cliniques de la maladie
- Caractériser les profils atypiques de la maladie d’Alzheimer grâce aux informations fournies par l’imagerie du fer.
INRIA x CHU RENNES
SCLÉROSE EN PLAQUES
Objectifs et résultats
Une meilleure caractérisation des lésions cérébrales et médullaires :
- signes du halo paramagnétique et de la veine centrale : mécanismes inflammatoires
- magnétisme de la gaine de myéline


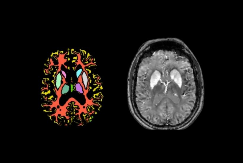
CHU Bordeaux
MALADIE RARE : NBIA
Objectifs et résultats
Identifier les régions impactées au niveau de la subtance grise profonde :
- cinétique de l’accumulation de fer, profil d’évolution de la maladie dans le temps
- facteurs génétiques
- lien avec le développement neurocognitif dès l’enfance
- ouvrir la voie au développement de thérapies
Ils nous font confiance









AUTRES INDICATIONS THÉRAPEUTIQUES



