Partnerships
Our impact
Benefiting the community - locally and globally
In consequat nisl vitae lacus semper rutrum. Phasellus et iaculis ligula. Nulla posuere tincidunt tortor non interdum. Curabitur eget condimentum odio. Fusce eget tellus sollicitudin, molestie mauris consec.
NOTRE HYPOTHÈSE SCIENTIFIQUE
A passionate team of scientists on a mission
Donec egestas libero nec vestibulum consectetur. In consequat nisl vitae lacus semper rutrum. Phasellus et iaculis ligula. Nulla posuere tincidunt tortor non interdum. Curabitur eget condimentum odio. Fusce eget tellus sollicitudin.
Unlocking the potential for innovation in human health
Building scientific partnerships together with key players in medical research
From research to clinical application
Innovation and research are at the heart of our DNA
As a scientific partner, we are involved in projects focusing on neurological diseases, working alongside academic and clinical teams. Together, we are advancing our understanding of iron-related mechanisms to open up new avenues in research and care.
Current scientific collaborations
Spotlight on our ongoing collaborations

CEA NEUROSPIN x GHU SAINTE-ANNE
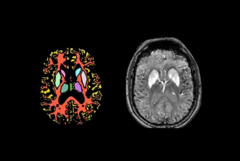
QSM4 ALZHEIMER DISEASE
Objectives
Earlier diagnosis, better patient stratification:
- Compare brain images of patients with brain images of normal cognitive ageing
- Establish correlations between iron imaging and the clinical manifestations of the disease
- Characterise atypical profiles of Alzheimer’s disease using information provided by iron imaging.
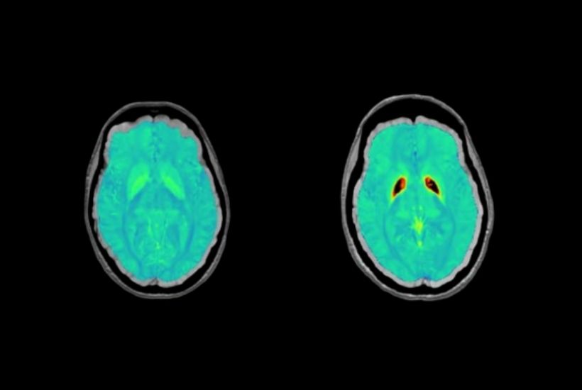
INRIA x CHU RENNES
MULTIPLE SCLEROSIS
Objectives and results
A better understanding of brain and spinal cord injuries :
- signs of the paramagnetic halo and central vein: inflammatory mechanisms
- magnetism of the myelin sheath


CHU Bordeaux
RARE DISEASE: NBIA
Objectives and results
Identify the regions affected within the deep grey matter:
- kinetics of iron accumulation, the disease’s progression over time
- genetic factors
- link to neurocognitive development from early childhood
- Open the way for the development of therapies
They trust us









OTHER THERAPEUTIC INDICATIONS



